在一项对超过250名患有进行性多发性硬化症(MS)的参与者的临床试验结果显示,药物异丁司特(ibudilast)在减缓脑萎缩方面优于安慰剂组。试验结果还表明异丁司特的主要副作用为胃肠道反应以及头痛。此项研究得到了美国国立卫生研究院国家神经疾病和中风研究所(NINDS)的支持,并在《New England Journal of Medicine》杂志上发表。

NINDS主任Walter J. Koroshetz博士表示,多发性硬化症会导致长期残疾,目前治疗方法非常有限。这项研究结果为多发性硬化症患者提供了一线希望。
俄亥俄州克利夫兰医学中心的神经学家Robert J. Fox博士领导了这项由28个临床中心参与的大脑成像试验,试验研究了在伴有进行性多发性硬化症的患者中,异丁司特减缓脑萎缩的进展是否优于安慰剂。
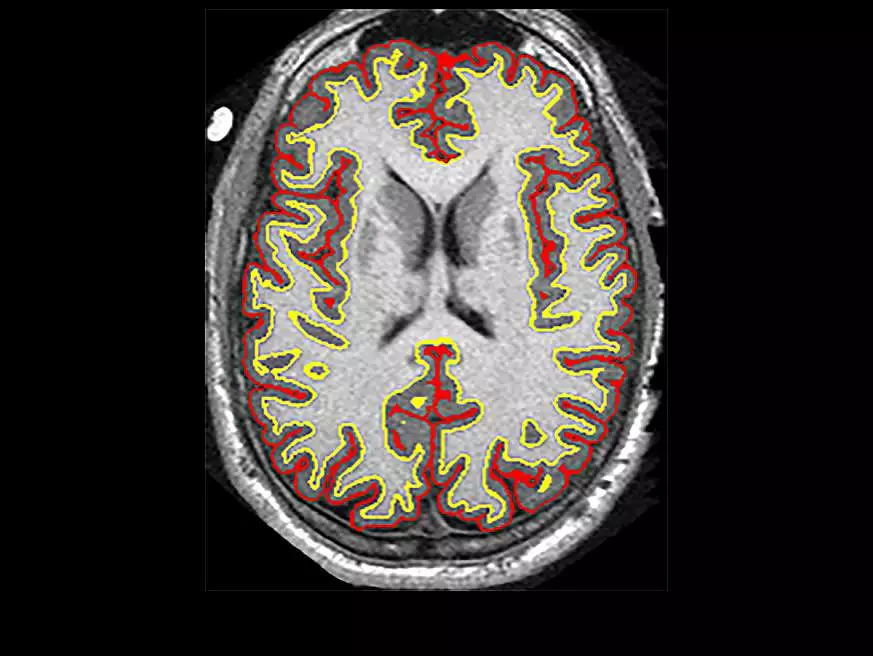
在该研究中,255名患者被随机分配为两组,一组每天服用10粒异丁司特,另一组服用安慰剂,并持续96周。研究人员每6个月对参与者进行MRI脑部扫描。Fox博士的团队在MRI图像上应用了各种分析技术,以评估两组间大脑变化的差异。
实验结果表明,与安慰剂相比,异丁司特减缓了脑萎缩的速度。Fox博士和他的同事们发现,两个实验组之间每年有0.0009单位的脑萎缩差异,相当于约2.5毫升的脑组织。换句话说,虽然两组参与者大脑均出现萎缩现象,但是安慰剂组患者的大脑在两年内比异丁司特组多萎缩了2.5毫升(通常整个成年人大脑的体积约为1,350毫升)。然而,尚不清楚这种差异是否会对MS症状或其功能丧失产生影响。
另一方面,在这两组实验组中,报告不良反应的患者数量没有显着差异。服用异丁司特的患者最常见的副作用是胃肠反应(包括恶心、腹泻),以及头痛和抑郁。
Fox博士表示,研究结果令人鼓舞。该实验不仅指出了一种潜在的新疗法来帮助患有进行性MS的患者,还增加了研究人员对先进成像技术的理解。因此未来的研究可能会实现在较短的时间内跟踪较少数量的患者,这提高了临床研究的效率。

MS是一种中枢神经脱髓鞘疾病。髓鞘质(如上图)是一种缠绕在轴突周围的脂肪白色物质,是一种可以传递来自脑细胞信息的长链。当髓鞘质开始分解时,脑细胞之间的通讯减慢,导致肌肉无力以及运动、平衡、感觉和视力方面的问题。
目前此项研究得到了NeuroNEXT计划的支持。NeuroNEXT是神经临床试验的一种创新方法,旨在简化II期临床研究,以提高研究效率。
未来的研究将测试减缓脑萎缩是否会影响MS患者的思维、行走和其它问题。此外,未来研究人员将测试异丁司特是否会减缓MS患者的残疾进展。